There are several options that can restore teeth and give you back your confidence and smile with dental implants if you currently wear full dentures or are about to become edentulous (without teeth). Dental implants deliver results that are fixed, strong, stable, and secure. The addition of dental implants can help alleviate the embarrassment, concerns, and worries associated with ill-fitting or slipping prostheses, in contrast to conventional removable full dentures that lack retention.
There are several dental implant solutions to replace full arch or full mouth missing teeth.

The All-on-4 and zygoma concepts make the most of the anterior bone that is already present and enable immediate functioning.
Implants that provide immediate function and a graftless solution include All-on-4/All-on-6 and zygoma. The implant concept places the most jaw bone volume on the anterior area by tilting the posterior implants. Long zygomatic implants can be used to hold a fixed hybrid denture in place when there is not enough bone.
Similar to wearing full dentures, overdentures on implants will have better retention to prevent slipping.
It offers a more affordable option for replacing the entire jaw. Full dentures (overdentures) can be worn with implants without having to worry about them slipping or falling out. The dentures are supported and held in place by the implant posts. As a result, the base of the denture can be significantly reduced in size and made more comfortable. implants with screws inserted in the jaw for overdentures. They act as fasteners for the removable denture, which is snapped and locked by a metal bar, ball, or locator.
Having fixed full bridge implants is comparable to getting new tooth roots. Over dental implant posts, bridges are fastened.
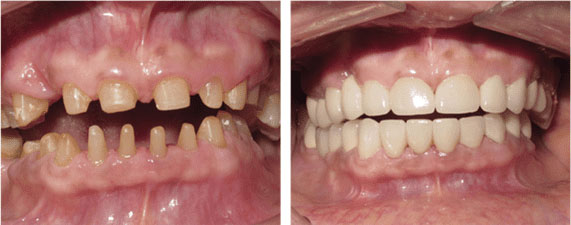
It is an ideal and long-lasting treatment for an edentulous jaw is anchored to dental implants. It offers high esthetics and is stable. It's like getting a fresh set of teeth again. However, full implant bridges are fairly expensive and require good bone health for placement in each area.
After removing teeth and following the first stage implant post-surgery visit, your bone and surrounding tissue may be tender, sore, and swollen. However, you should avoid strenuous exercise or activity for the first few days after surgery and continue with your regular daily activities.
Cleaning, flossing, and routine dental exams are all part of the maintenance required for dental implants.